Hiába emeli fel a szavát az elesettekért, ettől ön még feltétlenül jószívű, mondja egy új kutatás.
Meglepő eredményt hozott egy új pszichológiai kutatás: az igazságért vívott harcokat ugyanis sokkal inkább az értelem irányítja, mintsem az érzelmek, írja a Science Daily. Ha eddig azt hitte, szívből sajnálja az elesetteket vagy azért bántja az igazságtalanság, mert szentimentális, nagyot tévedett. Ugyanis ezért is az agyunk a felelős, derült ki egy új kutatásból.
Bizonyos emberek sokkal hevesebben reagálnak az igazságérzetüket érintő helyzetekben, mint a többiek – például ha látnak valakit, akivel méltánytalanul, vagy épp ellenkezőleg, könyörülettel bánnak. Ez volt az alapja annak a Chicagói Egyetemen végzett kutatásnak, amely során a szakemberek azt vizsgálták, milyen folyamatok játszódnak le az ilyen típusú egyének agyában.

„Arra voltunk kíváncsiak, hogy az igazságossággal, korrektséggel kapcsolatos egyéni hozzáállás hogyan jelenik meg az agyban. Ebből ugyanis kiderülhet, hogyan vesz részt az érzelem és gondolkodás a morális ítélkezésben” – magyarázta a kutatás célját Jean Decety, az egyetem pszichiátria és pszichológia szakának professzora.
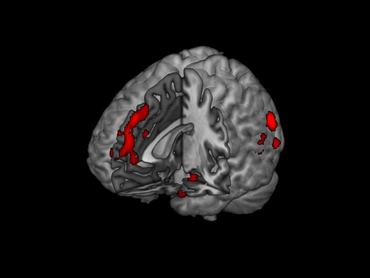
A kutatócsoport funkcionális MRI eljárással figyelte, milyen aktivitás észlelhető a részvevők agyának különböző területein, miközben morálisan jó vagy rossz viselkedést modellező videókat néztek. Például látták, amint egy ember pénzt dob egy koldus poharába, vagy épp felrúgja azt. Az alanyokat arra kérték, hogy egy adott skálán értékeljék, mennyire ítélik el, vagy méltatják a filmek szereplőit. Emellett olyan kérdőíveket is kitöltöttek, amelyek gondolkodásbeli és érzelmi empátiájukat, illetve igazságérzetük érzékenységét mérték fel.

A videók során adott válaszok és a kérdőívek eredményei – ahogyan az várható volt – összhangban voltak: azok, akiknek a kérdőíve magas pontszámú lett, a konkrét helyzeteket látva is sokkal jobban elítélték a videókban szereplő, másoknak kárt okozó embereket.
Csak semmi érzelem
Ám az ezzel párhuzamosan végzett MRI vizsgálatok meglepő eredményeket hoztak. A fejlettebb igazságérzettel rendelkező alanyok agya a videók nézése alatt sokkal erőteljesebb aktivitást mutatott a magasabbrendű gondolkodáshoz kapcsolható területen, miközben az agy azon részei, amelyeket általában az érzelmekhez kötnek, egyáltalán nem vettek részt a folyamatban. „A következtetés egyértelmű. Azokat, akinek erős az igazságérzetük, nem az érzelmeik vezérlik, hanem a gondolkodásuk" – összegzett Decety.

Az emberi jogi szervezetek sem érzelmi alapon küzdenek
A kutatásvezető szakember szerint ez arra is rávilágít, hogy az emberi jogi szervezetek igazságért folytatott harcai és morális missziói nem elsősorban szentimentális motivációból fakadnak, ahogy azt sokszor ábrázolják. Ehelyett sokkal inkább kifinomult elemzés és szellemi megfontolás eredményei.
Decety a vizsgálatok másik érdekes eredményéről is beszámolt. A videókon látható jó cselekedetek elbírálása viszonylag erőteljes aktivitást eredményezett az agy döntéshozásért, motivációért és jutalmazásért felelős területein. Ez a felfedezés pedig arra utal, hogy az egyének valószínűleg az alapján hoznak ítéletet mások viselkedéséről, hogy saját elképzelésük szerint mennyivel éri meg jobban jót tenni egy adott helyzetben, mint rosszat.
























